KUALA LUMPUR, March 4 — For years, Sophia endured intense period pain and heavy bleeding that left her physically drained and emotionally exhausted.
At 30, her bathroom cabinet was filled with maxi pads, painkillers, and iron supplements, all aimed at managing what she thought was a normal period.
But the reality was far from ordinary — Sophia was suffering from menorrhagia and dysmenorrhea, conditions that caused excessive bleeding and crippling pain.
Her daily life was a constant struggle, rushing to restrooms during meetings, cancelling plans, and lying about how she was feeling.
The pain would often leave her curled up on the bathroom floor, trying to power through each day. Simple things like wearing white pants or having a full night’s sleep became distant dreams.
The Silent Epidemic: Numbers That Demand Action
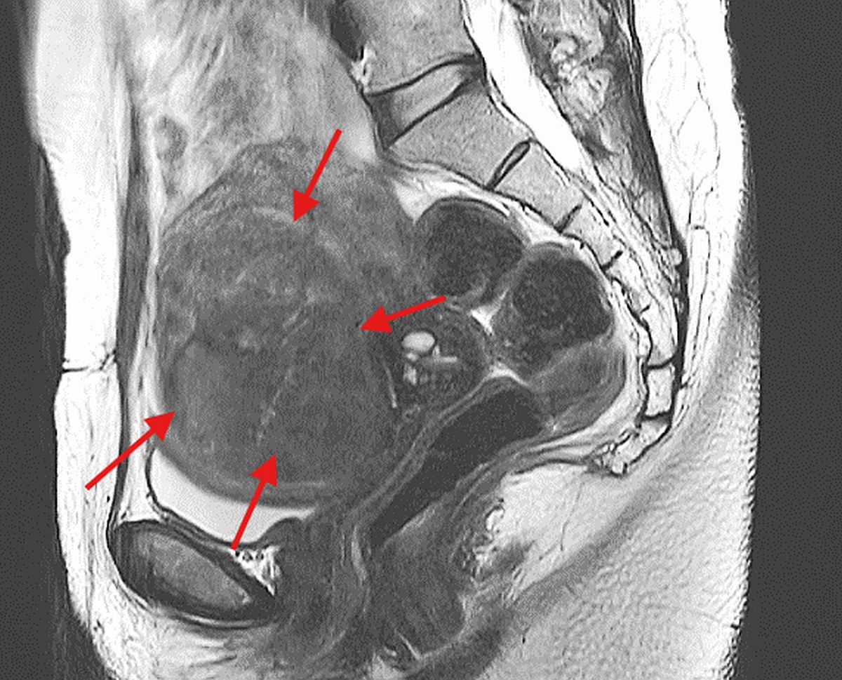
“Fibroids and adenomyosis are more common than many women realise, and their effects can range from minor discomfort to life-altering symptoms,” explained Dr Alex Tang, consultant vascular and interventional radiologist at Subang Jaya Medical Centre (SJMC).
“One in three women will develop uterine fibroids by 50, with 84 per cent going undiagnosed for years. Similarly, one in ten women suffer from adenomyosis, yet it takes more than seven years to receive a diagnosis.”
These non-cancerous growths develop in the muscle walls of the uterus and often significantly impact quality of life.
Although fibroids and adenomyosis are not life-threatening, they can cause disruptive symptoms like heavy menstrual bleeding, pelvic pain, dyspareunia, infertility, and pressure on nearby organs, making timely
diagnosis and treatment essential.
“What is crucial is recognising the signs early and seeking medical advice, as timely intervention can make a significant difference.”
“These conditions take years away,” Dr Tang added.
While there are many conventional treatment options available, some come with side effects and complications that certain patients may not be able to tolerate.
“But with Uterine Artery Embolisation (UAE), we’re rewriting their stories.” 90 per cent of women who undergo UAE reclaim their lives from pain and bleeding.
What Is Uterine Artery Embolisation (UAE)?
UAE, also known as uterine fibroid embolisation (UFE), is a minimally invasive procedure used to treat symptomatic uterine fibroids by cutting off their blood supply.
“By blocking the blood flow to fibroids, we essentially starve them, causing them to shrink and significantly alleviating symptoms,” shared Dr Tang.
“This approach allows us to treat fibroids without the need for major surgery.”
Interestingly, UAE was first developed in the early 1990s and has since become a well-established technique worldwide.
Hundreds of thousands of procedures have been performed globally, highlighting its success and growing acceptance among patients and health care providers alike.
UAE, a non-surgical treatment, is one of the preferred procedures for women in the West. On November 19, 2004, United States National Security Advisor Condoleezza Rice was among the prominent figures to undergo a successful UAE for her uterine leiomyomata (fibroid tumours).
The procedure is performed under local anaesthesia with light sedation, involving a small incision in the groin or wrist.
Through this incision, a tiny catheter (tube) is inserted into the uterine arteries. Using imaging technology for guidance, tiny medical plastic beads (embolic agents) are delivered via the catheter to block the arteries supplying the fibroids.
“These agents act as a targeted treatment, addressing the fibroids without affecting the surrounding tissues,” explained Dr Tang.
The procedure typically takes one to two hours, and most patients can return home after a short overnight stay.
“It is remarkable how such a simple incision can lead to such big changes. Most women are back to their normal routines within a week,” Dr Tang highlighted.
UAE is also used to treat other causes of uterine bleeds, such as postpartum haemorrhage, post-surgical uterine pseudoaneurysm, cancer of cervix or arteriovenous malformation, etc.
Promising results are also achievable in treating the commonly neglected adenomyosis, a condition often misdiagnosed as fibroids where the inner lining of the uterus (endometrium) grows into the muscular wall, causing severe pain, heavy bleeding, and an enlarged uterus.
UAE is best to combine with hormonal injection for achieving a good result in these cases. It is a life-saving procedure to control severe bleeding after childbirth (postpartum haemorrhage, PPH), preserving the uterus for future pregnancies.
Many patients undergo caesarean hysterectomies for the above reason, which could be avoided.
Why Choose UAE Over Traditional Surgery?
Unlike surgical options such as hysterectomy or myomectomy, UAE is less invasive, making it a favourable choice for many women. Most women return to normal activities within seven to 10 days, compared to four to six weeks for hysterectomy or myomectomy.
“With UAE, there is no need for large incisions or prolonged hospital stays. It has a lower risk of infection, blood loss, and scarring compared to surgery.
“The recovery is swift, and the uterus is preserved, which is crucial for women who wish to retain their fertility,” said Dr Tang.
For women balancing careers, families, and personal commitments, the shorter recovery time offered by UAE can be life changing.
“Patients often tell me how relieved they are to return to their routines without the long downtime associated with surgery,” added Dr Tang.
Effectiveness, Risks, And Long-Term Outcomes
Studies have shown that UAE significantly improves quality of life for women with fibroids and adenomyosis with 90 per cent of women reporting improved quality of life after UAE, with reductions in pain, bleeding, and urinary symptoms.
“The success stories we have witnessed are encouraging,” said Dr Tang.
“Women who once struggled with debilitating symptoms are now able to enjoy life again.”
While fibroids may occasionally recur, the overall long-term success of UAE makes it a reliable and effective treatment choice. The recurrence rate after UAE is 10 to 15 per cent, significantly lower than the 20 to 30 per cent recurrence rate after myomectomy.
“Even in cases where additional treatment is needed, UAE provides a strong foundation for managing fibroids effectively.”
UAE is generally safe, but like all medical procedures, it carries some risks, such as mild pain, fever or nausea after the procedure, infection which is rare, or temporary changes in menstrual patterns.
“These risks are minimal compared to traditional surgical methods,” assured Dr Tang. “We take every precaution to ensure patient safety and optimal outcomes.”
Lifestyle And Recovery Tips
After the procedure, some patients might experience mild cramping or discomfort for a few days.
“Stick to light, nutritious meals and avoid heavy physical activity during the initial recovery period. Rest is key to healing,” advised Dr Tang.
Patients are encouraged to attend follow-up appointments to monitor progress and address any concerns.
“These follow-ups are crucial to ensure that the fibroids continue to shrink and that symptoms remain under control,” said Dr Tang.
A Take-Home Message For Women
Dr Tang’s message to women is clear. “Fibroids and adenomyosis don’t have to control your life. It’s not just about treating the symptoms — it’s about restoring quality of life and empowering women to take control of their health.
A full night’s sleep, a day without worrying about stains, and wearing white pants without fear are all achievable goals.
UAE is a proven, minimally invasive solution that provides lasting relief and helps preserve fertility.
Do not hesitate to reach out to a specialist to explore your treatment options.


